Gebitsslijtage

Tegenwoordig behouden mensen hun eigen tanden langer, waardoor slijtage een groter probleem wordt. Alles wat we in ons dagelijks leven gebruiken, slijt in de loop van de tijd, en dat geldt ook voor onze tanden. Bij sommige mensen slijt echter het tandglazuur sneller dan wat typisch is voor hun leeftijd. In zulke gevallen kan het verstandig zijn om de slijtage te herstellen. Hoe ernstiger de slijtage, hoe complexer het behandelplan wordt. Vaak is een combinatie met orthodontie nodig om de tanden naar de juiste positie te verplaatsen voordat de slijtage hersteld kan worden. Als het gaat om materialen, is er een keuze tussen porselein en composiet.

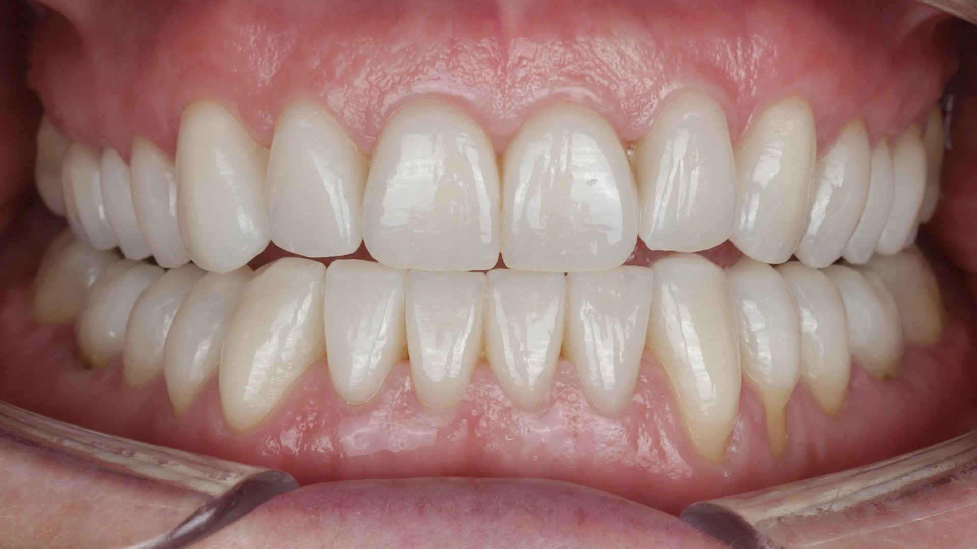
Porselein

Bekijk hier de volledige behandeling

Composiet

Bekijk hier de volledige behandeling