Porseleinen facings

Deze collega was ontevreden met haar glimlach. Ze had meerdere doffe composiet vullingen op de voortanden en wilde een duurzame oplossing met de beste esthetiek (ook op lange termijn). Het definitieve behandelplan bestond uit 10 porseleinen facings in de bovenkaak.

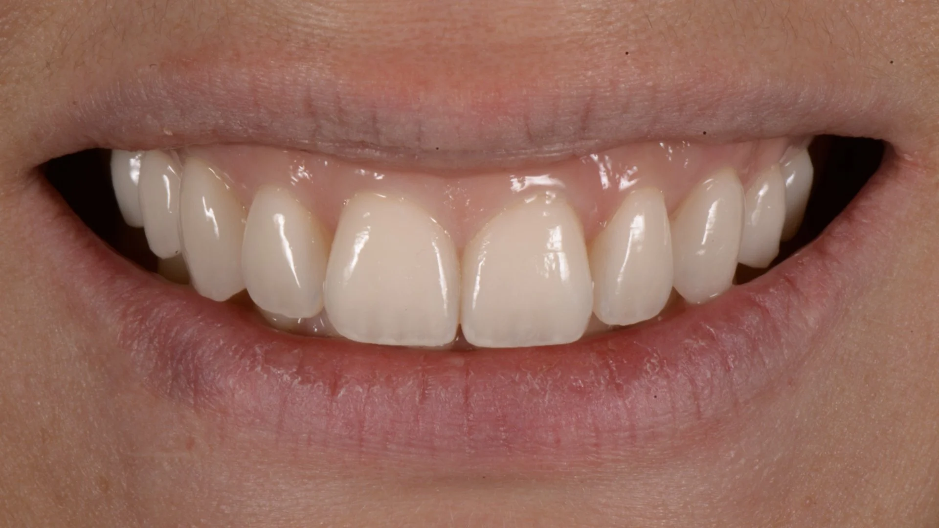
Glimlach foto

Deze glimlach foto is tijdens de intake gemaakt en essentieel voor het behandelplan.

Close-up foto

Op de close-up foto zie je duidelijk de doffe composiet vullingen op de voortanden.

Wax-up

In bijna alle esthetische casussen werk ik samen met Oral Design Center Holland (ODCH) in Blaricum. Zij hebben op een gipsmodel van de tanden de nieuwe vorm van de tanden ontworpen.

Mock-up

De nieuw ontworpen glimlach kan met een tijdelijk materiaal worden overgezet in de mond (mock-up) om zo de nieuwe glimlach op functie en esthetiek te testen.

Close-up foto voor preparatie

Voor porseleinen facings is het vrijwel altijd noodzakelijk om de tanden heel licht te beslijpen. Hiermee worden ondersnijdingen verwijderd, scherpe randen afgerond en wordt een duidelijke outline aangezet waar de facing zal eindigen.

Definitieve preparaties

Zoals je ziet is alleen het composiet verwijderd en zijn alle randen netjes afgerond.

Minimale preparatie

Door gebruik te maken van een wax-up kunnen we onze preparaties hierop baseren. Dit houdt in dat we nog minder hoeven af te nemen. In deze casus is (ten opzichte van de wax-up) ruimte voor het porselein gecreëerd variërend van 0.3 - 0.8mm.


In bovenstaande video kun je zien hoe dat prepareren in zijn werk gaat.


Tijdelijke facings

De tijdelijke facings zijn gebaseerd op de wax-up en zijn gemaakt van hetzelfde materiaal als de mock-up.

Het vervaardigen van de facings

Na de preparatie wordt een scan/afdruk van de tanden gemaakt. Deze afdruk/scan gebruikt de tandtechnieker om de definitieve facings te maken. Dit duurt meestal 2-3 weken.

Om een perfect eindresultaat te krijgen wil de tandtechnieker de patient altijd twee keer zien. De eerste keer voor het bepalen van de kleur van de tanden/facings en bespreken van de wensen en de tweede keer vlak voordat de facings klaar zijn.

Afbakken bij de tandtechnieker

Een paar dagen voordat de facings worden geplaatst ziet de tandtechnieker de patient voor het proefpassen van de veneers. In deze zitting wordt de pasvorm, aansluiting, kleur en vorm gecontroleerd. In samenspraak met de patient worden de laatste aanpassingen gedaan om er zeker van te zijn dat alles goed past en naar wens is. Deze afspraak duurt meestal 3-4 uur.

Plaatsen van de facings

Op de dag van plaatsen pas ik de facings ook nog een keer. Hiermee dubbelcheck ik de pasvorm en bekijk ik of er een bepaalde volgorde in het plaatsen zit.

Verlijmen van de facings

Wanneer de facings gecontroleerd zijn wordt de rubberdam aangebracht. Dit blauwe lapje zorgt voor een optimaal schoon en droog werkveld zodat de facings zo goed mogelijk geplaatst kunnen worden. Vervolgens worden de facings één-voor-één verlijmd aan de tanden.

In deze video zie je het proces van het verlijmen van de facings aan de tanden.

Na het plaatsen

Direct na het plaatsen wordt de rubberdam verwijderd en worden alle randen nogmaals nagelopen en gepolijst. Ook worden er röntgenfoto’s gemaakt om alles te controleren.

Evaluation na twee weken

Na twee weken vindt er een 20-minuten evaluatie afspraak plaats. Tijdens deze evaluatie wordt het eindresultaat geëvalueerd en worden dezelfde foto’s genomen als bij de intake.

Resultaat na 4 jaar

Na 4 jaar ziet her porselein er nog steeds prachtig uit. Porselein heeft de hoogste esthetiek en blijft er ontzettend lang mooi uitzien.

Totale behandeltijd: ongeveer 10 - 15 uur
Traject van intake - evaluatie: ongeveer 3 maanden
Geschatte kosten: ongeveer € 15.000,-

Belangrijk: de resultaten van deze behandeling kunnen per patiënt verschillen. Uw eigen behandeling kan afwijken van wat hier wordt voorgeschreven. Tijdens de intake zullen we verschillende behandelopties bespreken en dieper ingaan op de beste optie voor u.

Oral Design Center Holland

Over Oral Design Center Holland

Bij de meeste esthetische casussen werk ik samen met de tandtechnici van Oral Design Center Holland (ODCH) in Blaricum. Zij maken de wax-up op basis van jouw voorkeuren en mondsituatie.

Zodra ik de wax-up ontvang, plannen we een mock-up afspraak. Tijdens deze afspraak zal ik jouw nieuw ontworpen glimlach in je mond overbrengen om het esthetische en functionele ontwerp te testen. We maken intra-orale foto’s en portretfoto's van de mock-up om te zorgen dat het aan jouw goedkeuring voldoet. In de meeste gevallen wordt de mock-up tijdens dezelfde afspraak verwijderd. In sommige gevallen kan ik je echter de mock-up voor een langere periode (varierend van 2 tot 4 weken) laten testen.

Als we besluiten door te gaan met het behandelplan, zal de tandtechnicus je willen ontmoeten om je wensen te bespreken en de kleur van je tanden (of de gewenste kleur) op te meten. Zodra we de tanden hebben voorbereid en een afdruk en/of scan van de situatie hebben gemaakt, heeft de tandtechnicus 2-3 weken nodig om de facings te vervaardigen. Enkele dagen voor de plaats-afspraak zal de technicus je weer willen zien om de facings te finaliseren. Tijdens deze afspraak zullen ze de facings passen en kleine aanpassingen maken aan de vorm en kleur. Pas wanneer je de facings goedkeurt, worden ze volledig afgemaakt en naar mij gestuurd voor het plaatsen. Deze afspraak duurt meestal 3-4 uur. Op deze manier ben je onderdeel van het hele proces en heb je de facings al kunnen proefpassen voordat ze definitief aan de tanden worden verlijmd.