Full Mouth rehabilitation with porcelain

This woman was referred to me because she wasn’t happy with her teeth. She didn’t have a stable bite and felt only her front teeth touching. She wanted a durable long-term solution for her situation. The final treatment plan was a combination of orthodontics with porcelain on all teeth.

Smile photo

This smile photo was taken during the intake and is an essential photo for our treatment plan.

Close-up photo

A close-up shot of the teeth gives more detail about the current situation.

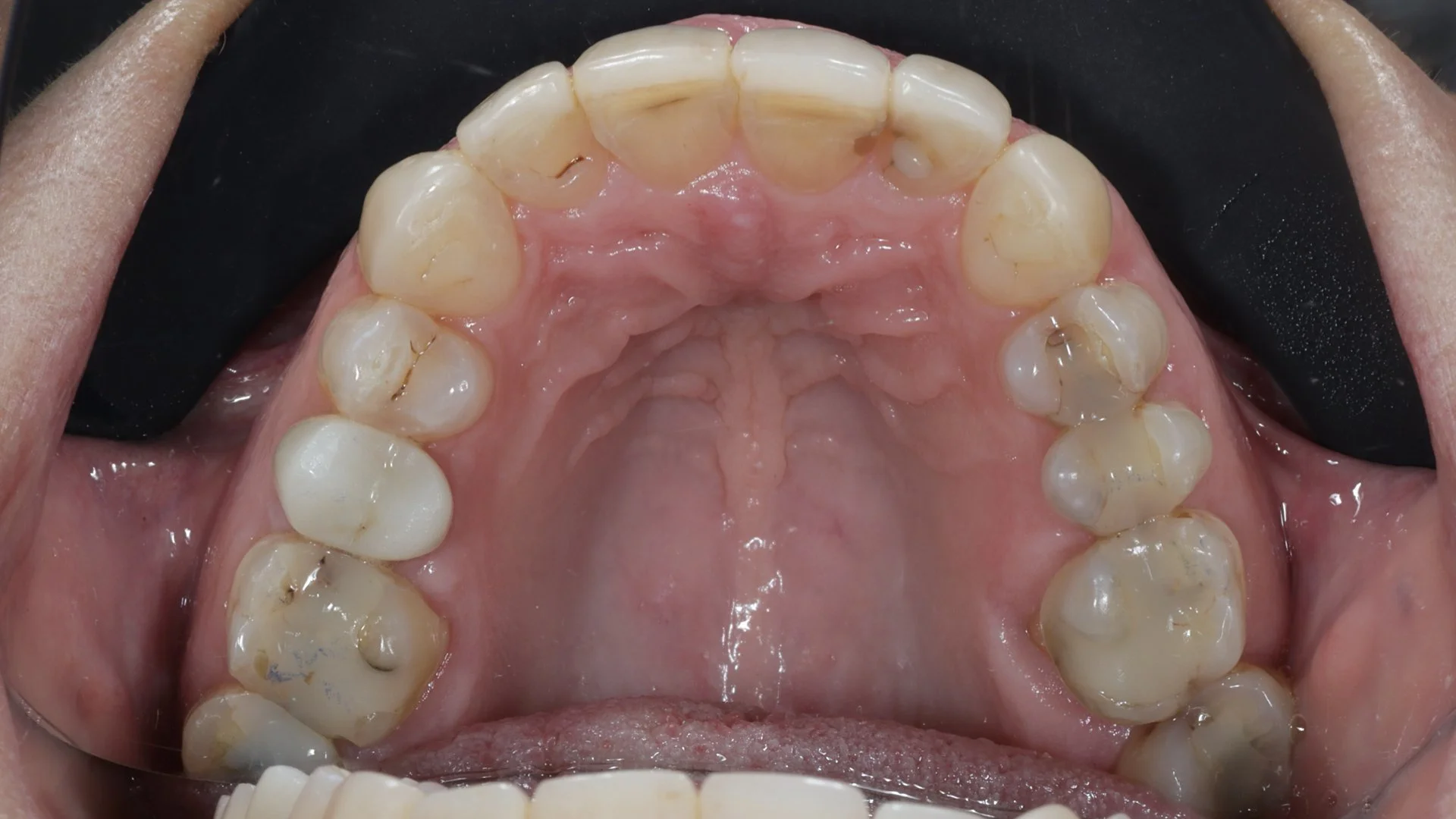
Occlusal photo upper jaw

An occlusal photo of the upper jaw gives a lot of information about the current restorations that are present and the position of the teeth.

Occlusal photo lower jaw

An occlusal photo of the lower jaw gives a lot of information about the current restorations that are present and the position of the teeth.

Orthodontic treatment

With Invisalign (clear aligner treatment) the teeth are moved to a better position.

Wax-up

At the end of the orthodontic treatment a scan and/or impression is made to make a wax-up. This is a design of the desired tooth shapes and occlusion.

Mock-up

The wax-up can be transferred into the mouth (mock-up). This is a test-drive of our ideal end-result. By wearing this for 2-4 weeks we can test the function and esthetics.

Final result

In multiple long treatment sessions all teeth received porcelain restorations.

Close-up

We can see a more harmonious arch form and an improvement in function and esthetics.

Occlusal photo upper jaw

All teeth have partial porcelain restorations.

Occlusal photo lower jaw

All teeth have partial porcelain restorations.

Please note: the results of this treatment may vary from patient to patient. Your own treatment may differ from what’s prescribed here. During the intake we will discuss different treatment options and discuss what’s best for you and what you can expect.